Smile Transformations: Traditional Braces
If your child is dealing with complex orthodontic issues, it can be difficult to imagine what the results will look like when treatment is finished. These Before and After pictures will help you see for yourself the dramatic transformations Dr. Jesus Martinez can achieve using his skill and advanced orthodontic training.
Please take a moment to browse through our Smile Gallery. If you have any questions, please feel free to call us at (305) 552-0402 or send us an email using our convenient online contact form.
Correcting a severe Class II malocclusion—commonly known as a significant overbite—requires a sophisticated understanding of adolescent growth. For this 24-month transformation, I utilized a custom Herbst appliance to guide the lower jaw forward and achieve a balanced facial profile. This fixed solution works continuously without relying on the patient to remember elastics, making it an ideal choice for busy families. Because managing growth-related appliances requires meticulous clinical oversight, I personally handled every adjustment in our Miami office to ensure a precise, aesthetic result. If you notice your child has a recessed chin or protruding upper teeth, contact our office for ...
Correcting an underbite (Class III malocclusion) complicated by a jaw shift requires precise skeletal alignment. For this 24-month transformation, I utilized a Rapid Palatal Expander (RPE) to widen the narrow upper jaw, followed by traditional braces and elastics to eliminate the functional shift. This comprehensive approach established a stable, healthy bite and a balanced facial profile. Because correcting jaw shifts requires constant clinical monitoring, I personally managed every adjustment in our Miami office to ensure an optimal result. If you notice your child’s jaw shifting to one side or teeth not meeting correctly, contact our office for a clinical evaluation ...
As an orthodontist providing braces in Miami, we often treat complex adult cases that require a highly coordinated, expert approach. This young adult patient presented with a challenging situation: the front teeth did not touch when biting down, and an adult eyetooth was completely trapped up in the gums, leaving a noticeable space. Through a comprehensive orthodontic treatment plan, we effectively closed the front bite for proper chewing function. We also coordinated a minor procedure to uncover the hidden tooth, allowing us to gently and safely guide it down into its rightful place. The final result is a beautifully aligned, ...
Resolving severe crowding and a narrow palate in an adolescent requires strategic planning to avoid permanent tooth extractions. For this 24-month case, I utilized a Rapid Palatal Expander (RPE) to correct lateral crossbites and create the optimal arch width for a healthy, functional bite. Because achieving stability in complex expansion cases requires meticulous oversight, I personally managed every adjustment in our Kendall clinical suite to ensure a precise, aesthetic result. Now that the smile is straight, we are perfectly set to beautifully restore the chipped front tooth. If you are concerned about your child’s crowded teeth or narrow smile, contact ...
This 30-month case for a preteen addressed a lower jaw that sat too far back, protruding front teeth, a narrow upper jaw, and significant gaps. Treatment utilized a specialized appliance to comfortably guide the lower jaw forward into a healthy position during a key growth phase (ages 11 to 14). Following this, traditional braces were used to perfectly coordinate the upper and lower teeth, close all spacing, and create a balanced facial profile. If you notice your child has a receded lower jaw or severely protruding front teeth, we invite you to schedule a personal evaluation to discuss how specialized ...
Correcting a collapsed bite and anterior open bite in an adult requires precise multidisciplinary coordination. For this patient, I used traditional braces to stabilize the occlusion and establish the necessary foundation for future dental implants. Because adult cases with a history of periodontitis require extremely gentle clinical oversight, I personally managed every adjustment in our Miami office to ensure a stable, functional result. If you have been told your dental situation is too complex for orthodontics, we invite you to schedule a personal evaluation to discuss your options for specialized care..
This adult patient presented with a complex Class II Division 1 malocclusion, characterized by an anterior open bite, posterior crossbite, and severe dental crowding with shifted midlines. The comprehensive treatment plan utilized Rapid Palatal Expansion (RPE) to address the transverse deficiency and the extraction of four bicuspids to resolve crowding and close the open bite. Through precise orthodontic mechanics, we achieved a stable functional bite, corrected midlines, and a dramatic aesthetic transformation. If you are an adult who has always wanted to correct your smile, we invite you to schedule a personal evaluation to explore how specialized orthodontic expertise can address ...
This adult patient presented with a Class III malocclusion (underbite) and severe lower crowding. To achieve a stable and aesthetic result without surgery, we performed a camouflage treatment involving the extraction of two lower bicuspids. This allowed for the successful correction of the anterior crossbite and created a harmonious, functional bite with perfect alignment. This case demonstrates that while skeletal concerns are complex, not all require a surgical approach. If you are an adult who has been told surgery is your only option, we invite you to schedule a personal evaluation to explore how specialized orthodontic expertise can provide a life-changing, ...
Not all orthodontic journeys start on the right path. This patient came to us with partial braces and a desire for clinical excellence. Dr. Martinez accepted the challenge, providing the expert, hands-on care necessary to "rescue" this complex case. After 24 months of specialized treatment in our Miami orthodontic practice, we achieved a healthy, stable, and properly aligned smile. If your previous orthodontic treatment didn't achieve the results you expected, contact our office for a clinical evaluation to discuss a corrective plan.
Protruding upper teeth and dental gaps caused by parafunctional habits, such as tongue thrusting or thumb-sucking, were successfully corrected for this patient. A combination of orthopedic appliances and braces was used to neutralize these habits and restore proper bite function. Early intervention is key to preventing tooth fractures and ensuring healthy jaw development. If you notice your child has persistent habits like tongue thrusting or thumb-sucking, contact our office for a clinical evaluation to discuss how we can protect their dental development.
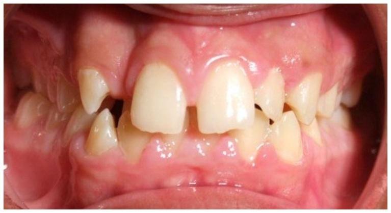
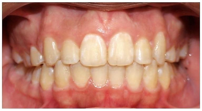
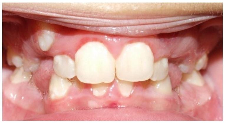
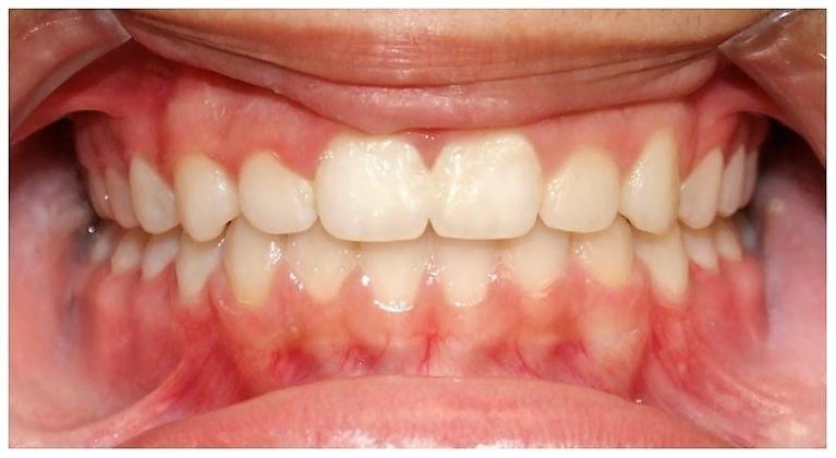
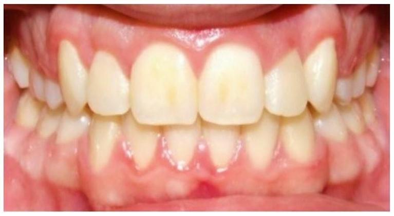
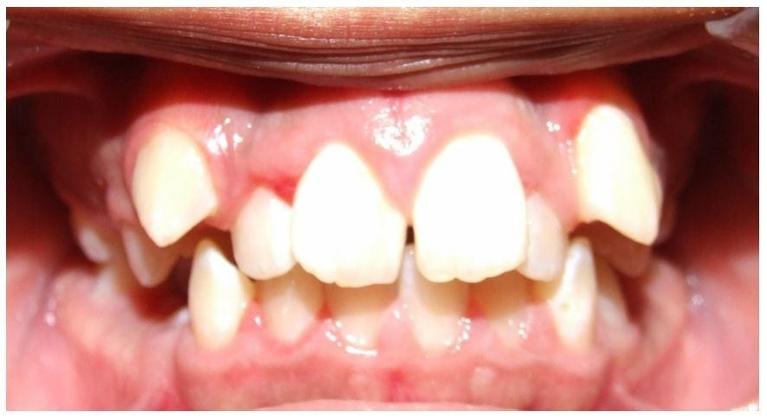
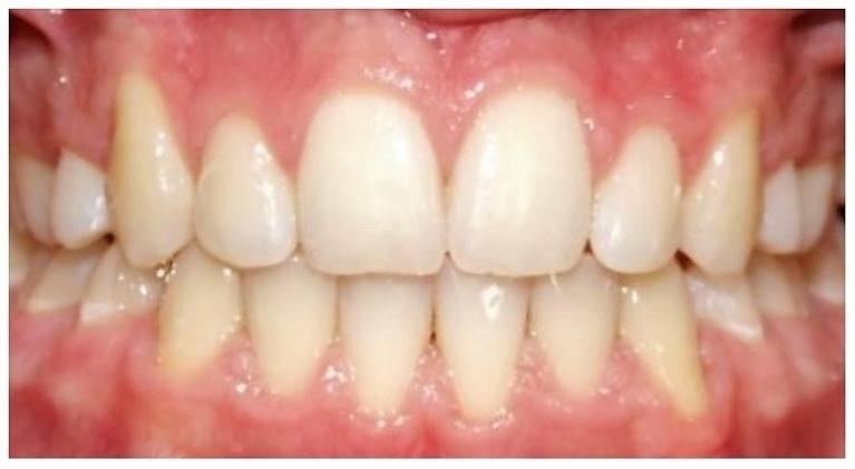
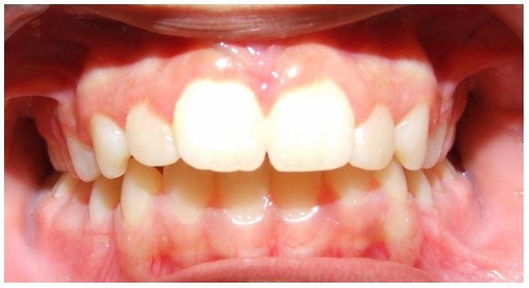
Before: This preteen patient presented with moderate crowding and a severe overjet—meaning the upper front teeth protruded significantly over the lower teeth. This extreme protrusion not only impacted the aesthetics of the smile but also left the front teeth highly vulnerable to accidental trauma.
After: Following a 24-month comprehensive treatment plan, we successfully corrected the severe overjet and relieved moderate crowding through the strategic extraction of four side teeth. This precise biomechanical approach allowed us to retract the flared upper teeth into a stable, healthy alignment, effectively eliminating the risk of dental trauma. Because extractions require the highest level of orthodontic expertise ...
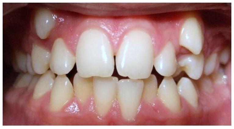
Before: This teenage patient presented with an impacted upper left canine, meaning the eyetooth was stuck beneath the gums, along with noticeable spacing between the teeth and asymmetrical dental midlines.
After: Following a 24-month comprehensive treatment plan utilizing traditional metal braces and a minor surgical procedure to uncover the hidden canine, we successfully guided the tooth into its proper position, closed all gaps, and aligned the midlines for a fully balanced smile.
Managing an impacted tooth requires a high level of coordination between orthodontic alignment and minor surgical intervention. This case demonstrates how a specialized, 24-month plan can successfully 'rescue' a hidden ...
Severe dental crowding and blocked-out canines were successfully corrected at our Kendall, Miami office using traditional metal braces. To create the necessary space for proper alignment and a stable bite, the treatment plan included the strategic extraction of four premolars. Over a 24-month period, we transitioned the teeth into their ideal positions, resolving the crowding and stabilizing the midline. At Martinez Orthodontics, complex cases involving extractions are personally managed by the specialist to ensure a balanced profile and functional health. Proper arch development during the teenage years is the foundation for a lifetime of oral health. If you are a parent ...
A severe overjet and multiple gaps (diastemas) can impact both bite function and a teen’s confidence. For this patient, I designed a comprehensive plan using traditional braces to close all spacing and reduce the overjet to a stable, healthy position. Because cases involving significant gaps and deep bites require precise mechanical control to avoid relapse, I personally managed every adjustment in our Miami office to ensure a radiant, structurally sound result. If you notice your child has protruding front teeth or gaps that aren't closing, we invite you to schedule a personal evaluation to discuss the best treatment options.
Deep-bite correction and the resolution of an impinging overbite were the focus for this adolescent patient at our Miami office. By utilizing traditional braces, we successfully leveled the dental arches and "lifted" the bite, protecting the palate and preventing long-term wear on the lower teeth. At Martinez Orthodontics, every complex bite case is evaluated personally by the specialist to ensure a result that is both functional and aesthetically balanced.
As a specialized orthodontist, utilizing traditional braces for severe crowding is a cornerstone of our clinical practice. This teen patient presented with significantly blocked-out canines and alignment issues, requiring precise and predictable tooth movement. Traditional metal braces provided the optimal biomechanical control needed to properly align the smile both aesthetically and functionally. Here in our Kendall and Miami offices, we prioritize a concierge clinical experience. Severe crowding is often a major source of self-consciousness for teenagers. This case demonstrates how a specialized approach with traditional braces can reliably resolve complex alignment issues to create a healthy, straight smile. If you ...
Severe crowding and ectopic (blocked-out) canines were successfully corrected at our Kendall, Miami office using traditional braces. For this adolescent patient, the treatment plan included the strategic extraction of premolars to create the necessary space for a healthy, functional bite. Over a 24-month comprehensive treatment period, we achieved ideal alignment and corrected the Class II malocclusion. At Martinez Orthodontics, every complex case is personally evaluated by the specialist to ensure the best long-term results for growing smiles.
If you are an adult who has been told that jaw surgery is the only way to fix your smile, this case proves there is another path. This transformation demonstrates the successful non-surgical correction of a significant anterior open bite. Using a customized, high-precision orthodontic plan, we restored full dental function and aesthetic harmony without invasive procedures. It is never too late to achieve the stable, healthy bite you deserve. Contact us today for a personal orthodontic evaluation in Kendall.
Correcting significant dental protrusion and an asymmetrical midline in adults requires precise mechanical control. For this 26-month case, I utilized traditional metal braces to retract the upper teeth and align the dental midlines for a balanced, functional smile. Because achieving this level of symmetry in adult patients requires meticulous clinical oversight, I personally managed every phase of treatment in our Miami office to ensure a stable result. If you are concerned about protruding teeth or an uneven smile, contact our office for a clinical evaluation to discuss your treatment options.
Orthodontic treatment for adults often involves managing complex dental histories. This patient in his 40s presented with a collapsed, square-shaped maxillary arch, a crossbite, and shifted midlines. Complicating the case were congenitally missing lower second premolars and over-retained primary first molars. Under the specialized care of Dr. Jesus Martinez, we utilized Rapid Palatal Expansion (RPE) to restore proper arch width and traditional braces to correct the alignment and bite. Strategic management of the primary teeth and missing permanent teeth allowed us to achieve a stable, functional result secured with fixed retainers. Orthodontic care in your 40s and beyond requires a ...
This case shows how we helped an adult patient fix crowded teeth for a beautiful, aligned result. To make sure the teeth stay perfectly in place, we used a permanent retainer (also called a fixed retainer) bonded behind the lower front teeth.
Since it’s hidden behind the teeth, it’s a completely invisible way to keep your smile secure 24/7. This is a top choice for our adult patients who want the peace of mind that their teeth won’t shift back over time. We believe in providing results that last, and this extra step ensures that smile stays exactly where it belongs. Ready ...
As a Kendall orthodontist, I utilized a Herbst appliance to address this patient’s severe protrusion and achieve a balanced, healthy profile. By focusing on skeletal alignment during the growth phase, we corrected the bite and significantly improved both function and facial aesthetics. This case demonstrates the precision and expertise available in our Kendall clinical suite. Contact us for a personal evaluation in our Kendall or Miami office to discuss your family’s orthodontic needs.
As a specialized orthodontist, utilizing traditional braces and Rapid Palatal Expansion (RPE) for preteens allows us to efficiently correct severe skeletal and dental crowding. Over the course of this 30-month treatment, we addressed a notably narrow maxilla. By expanding the palate during this crucial growth phase, we established the necessary arch width to properly accommodate and align the erupting permanent teeth into a functional, healthy smile. Expanding a narrow palate during the preteen years is about more than just making room for teeth—it is about optimizing skeletal development and improving the airway while the jaw is still adaptable. This comprehensive ...
Before: This 13-year-old teenage patient presented with a recessed lower jaw, a narrow palate, and a severe overjet—meaning the upper front teeth protruded significantly. Additionally, the patient had an impinging deep bite where the lower teeth bit directly into the roof of the mouth, along with a fractured upper front tooth resulting from the extreme protrusion and trauma risk.
After: Following a 30-month comprehensive treatment plan, we utilized traditional metal braces combined with a custom Herbst and palatal expander to harness the patient's natural development. This targeted approach successfully guided the lower jaw forward and widened the palate to safely correct ...
This transitional dentition case for a preteen female addressed a malocclusion where the upper front teeth completely hid the lower front teeth, a condition known as a deep bite. Over a 30-month treatment period, comprehensive braces were utilized to upright the maxillary incisors, resolve the deep bite, and improve the vertical proportions of the smile. If you notice your child’s upper teeth totally hiding their lower teeth or they show excessive gum tissue when smiling, we invite you to schedule a personal evaluation to discuss how specialized care can improve their dental health.
This 24-month complex case for a teenager involved a coordinated surgical-orthodontic approach to resolve an impacted maxillary right canine (#6). Treatment commenced with the application of traditional metal braces to create the necessary space, followed by the surgical exposure of the canine via electrocauterization a few months later. This sequence allowed for precise mechanical guidance as the tooth was brought into the dental arch. If you suspect your child has a permanent tooth that is failing to erupt or is trapped in the gum line, we invite you to schedule a personal evaluation to discuss how specialized care can guide ...
Before: This teenage patient presented with a posterior open bite, a condition where the back teeth do not touch when biting down, along with a lingually ectopic lower canine, meaning it was erupting out of its normal alignment toward the tongue.
After: Following a 24-month comprehensive treatment plan utilizing traditional metal braces and targeted posterior box elastics, we successfully guided the canine into proper position and closed the posterior bite for a fully functional and healthy smile.
A posterior open bite or a misplaced tooth can lead to significant wear and functional issues if left unaddressed. This case demonstrates how a specialized, ...
Before: This teenage patient presented with severe dental crowding, shifted midlines, and ectopic canines—meaning the eyeteeth were blocked out of their normal alignment and erupting irregularly.
After: Following a 24-month comprehensive treatment plan utilizing traditional metal braces and the strategic extraction of four side teeth (premolars) to create necessary space, we successfully guided the canines into proper position, resolved the severe crowding, and centered the dental midlines for a healthy, functional smile. If you notice your teen’s permanent teeth are erupting high in the gum line or appear blocked out, contact our office for a clinical evaluation to discuss their treatment options.
As a Kendall orthodontist, I frequently treat severe dental crowding. This 18-year-old college student presented with significant overlapping that often requires removing teeth. However, I successfully achieved a beautiful, broad smile without any extractions. Through a customized orthodontic approach, I created the exact space needed to perfectly align the teeth, enhancing both the appearance and the long-term health of the smile. I provide specialized care in Kendall, Kendale Lakes, The Hammocks, and West Kendall. Contact us today for a personal orthodontic evaluation.
This clinical case demonstrates the correction of dental crowding using specialized orthodontic techniques. By carefully aligning the teeth, we improved both the aesthetics and the long-term health of the patient's smile. The result is a healthy, functional, and straight alignment. Contact us for a personal evaluation in our Miami or Kendall office to discuss your smile goals.
As a Kendall orthodontist, I believe improving your smile as an adult is a vital investment in both your confidence and your long-term dental health. For this patient, we utilized traditional braces to resolve moderate crowding and significant misalignment, focusing on creating a harmonious, level bite. Beyond the aesthetic transformation, properly aligned teeth are far easier to maintain, significantly reducing the risk of periodontal issues over time. Because adult bone structure requires a specialized, gentle approach to tooth movement, I personally designed and managed every stage of this treatment in our Kendall clinical suite. If you have been considering orthodontic ...
Blocked-out canine and severe dental crowding were successfully resolved at our Kendall, Miami office using traditional metal braces. For this patient in transitional dentition, the treatment plan included the extraction of first premolars to create the necessary space for the permanent teeth to erupt into their ideal positions. This comprehensive 24-month treatment resulted in a stable, functional bite and a harmonious smile. An ectopic or 'blocked-out' canine can be alarming for parents to see, but with early intervention and a specialized treatment plan, these teeth can be guided into their proper place for a lifetime of stability. If you notice ...
Protruded upper teeth and a Class II malocclusion were successfully corrected at our Kendall, Miami office using traditional metal braces and rubber bands. By addressing the small lower jaw and aligning the dental arches, we achieved a healthy, functional bite and a balanced smile profile over a 24-month period. Correcting a deep bite or significant overjet is most effective when timed with a child's natural growth spurt. By utilizing specialized appliances to guide jaw development, we can often achieve a balanced profile without the need for more invasive procedures later in life. If you notice your child’s upper teeth are ...
If your child has gaps due to small teeth—often referred to as "peg laterals"—targeted orthodontic care can beautifully correct the resulting size discrepancies. For this teenage patient, we carefully closed her visible spaces (diastemas) to create a continuous, properly proportioned smile arc. To ensure these newly consolidated results are protected and last a lifetime, we finalized her treatment with a bonded fixed retainer. This comprehensive approach not only enhances her confidence but establishes excellent long-term bite stability. We offer specialized orthodontic care in Kendall, Kendale Lakes, The Hammocks and West Kendall. Contact us today for a personal orthodontic evaluation.
As a specialized orthodontist, utilizing traditional braces for preteens allows us to efficiently correct severe dental discrepancies. Over the course of this 30-month treatment in our Kendall suite, we addressed significant dental spacing and protrusion. To beautifully close the gaps between the teeth, we used continuous orthodontic bands to gently draw them together. To correct the protrusion and properly align the bite, we incorporated specialized orthodontic rubber bands, guiding the upper teeth back into a functional, healthy position. Severe spacing and protrusion in a preteen are often more than an aesthetic concern; they can affect speech, lip closure, and the ...
This case is a great example of how early orthodontic treatment can make a significant difference. The patient started with a mix of baby and adult teeth, facing challenges with mild crowding and moderate overbite.
By starting at the right time, we were able to align the teeth and improve the bite, creating a healthy foundation for the rest of their adult teeth to grow in properly. This proactive approach not only creates a beautiful smile but also helps prevent more complex issues in the future. At Martinez Orthodontics, we specialize in guiding these young smiles with precision and care.
Ready to ...
Palatal expansion and traditional metal braces were used to correct a narrow palate, crossbite, and deep-bite. By addressing skeletal width first, we created the necessary space to resolve severe crowding and align the teeth into a functional, healthy smile over 24 months. A narrow palate and crossbite don’t always require a premature 'Phase I' intervention. This case demonstrates the success of a single, comprehensive phase of treatment (D8080) utilizing palatal expansion in the early teenage years. With 35 years of experience, we focus on evidence-based timing to achieve skeletal width and a functional bite during the teen growth spurt—avoiding unnecessary ...
This comprehensive teen case focused on correcting a combination of functional and aesthetic concerns. The primary clinical goals involved closing a significant front gap (midline diastema), correcting a deep bite where the top teeth overlapped the bottom too much, and aligning a midline deviation to ensure the teeth centered perfectly with the face. By managing the eruption path of the upper canines, we achieved a healthy, balanced, and stable smile. Our specialist-led approach at Martinez Orthodontics ensures that every teen in Miami and Kendall receives a customized treatment plan for long-term dental health. We invite parents to schedule a personal ...
This teenager came to the office with a severe deep bite and upper side teeth that were sticking out. Over the course of 24 months with traditional braces, I safely guided the teeth into their proper places and created a healthy, comfortable bite. Because I see every patient personally at every visit, I was able to carefully monitor progress and achieve a beautiful, straight smile. Contact my Kendall office today to schedule your personal evaluation.
This adult patient visited my West Kendall practice after having braces as a teenager elsewhere. Her permanent fixed retainer became loose, and because she waited to have it repaired, the wire actually pushed her teeth out of their proper alignment. To fully restore her bite to optimal results, I treated her with traditional braces for 18 months. This case highlights a critical lesson: maintaining your fixed retainers and getting them repaired immediately is absolutely vital to protecting your smile! Additionally, sticking to a soft diet to avoid breaking hardware and maintaining excellent daily hygiene are key to keeping your treatment ...
Stop looking around and go here first and save yourself a lot of trouble. I have been looking for the best ortho in Miami and believe me it has been quite a journey. Dr. Martinez is so through you have to see for yourself to know what I mean. He showed me and my son the process and walked us through it step by step. He is a perfectionist and it shows in the interaction I had with him. My son had his braces removed yesterday and hasn’t stopped smiling and taking selfies. His whole demeanor has changed. I am so happy for him and the process we had with Dr. Martinez hands down he is the best. — Jazon Ozza