Underbite and Jaw Shift Correction in Miami

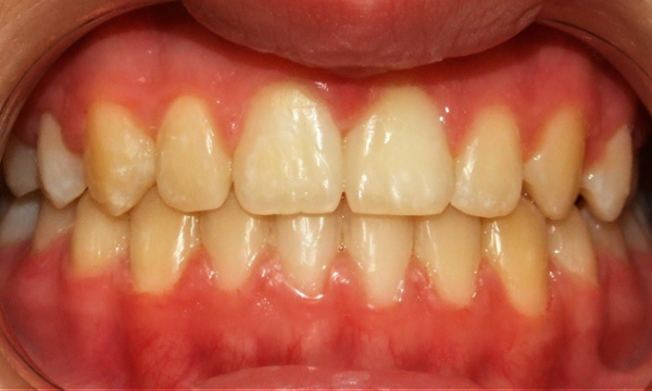
Correcting an underbite (Class III malocclusion) complicated by a jaw shift requires precise skeletal alignment. For this 24-month transformation, I utilized a Rapid Palatal Expander (RPE) to widen the narrow upper jaw, followed by traditional braces and elastics to eliminate the functional shift. This comprehensive approach established a stable, healthy bite and a balanced facial profile. Because correcting jaw shifts requires constant clinical monitoring, I personally managed every adjustment in our Miami office to ensure an optimal result. If you notice your child’s jaw shifting to one side or teeth not meeting correctly, contact our office for a clinical evaluation to see how we can guide their development.

Service Performed By:

Dr. Jesus Martinez
Stellar Attention to Detail

We can’t say enough great things about Dr. Martinez and his entire orthodontic practice. For the past two years, he has worked on our daughter’s teeth, and the results are truly incredible — her smile looks absolutely amazing!
Dr. Martinez’s attention to detail is nothing short of stellar.  We are beyond happy with the outcome and couldn’t be more grateful for his expertise, patience, and dedication. If you’re looking for a top-notch orthodontist who truly cares and delivers outstanding results, Dr. Martinez is the one. Highly recommended!

 

Getting an appointment is fast and easy!