Teen Metal Braces for Posterior Open Bite and Ectopic Canine in Miami

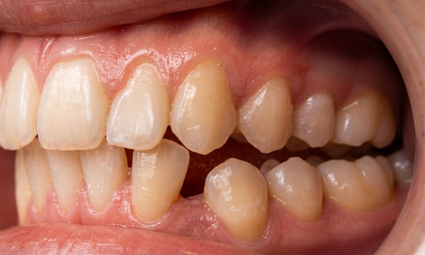
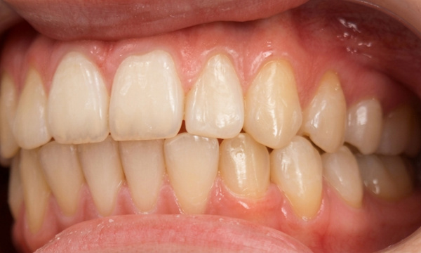
Before: This teenage patient presented with a posterior open bite, a condition where the back teeth do not touch when biting down, along with a lingually ectopic lower canine, meaning it was erupting out of its normal alignment toward the tongue.

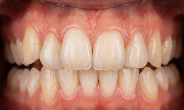
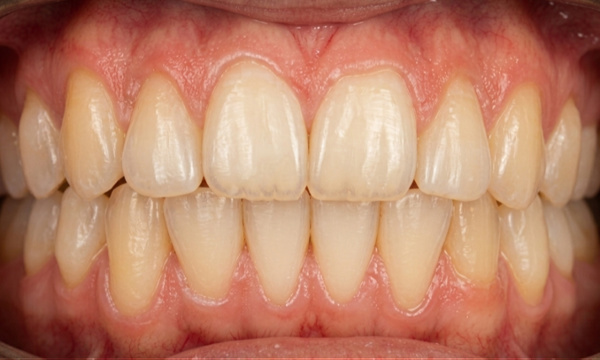
After: Following a 24-month comprehensive treatment plan utilizing traditional metal braces and targeted posterior box elastics, we successfully guided the canine into proper position and closed the posterior bite for a fully functional and healthy smile.

Evaluation: Teen orthodontic care requires meticulous biomechanical planning. Through our private practice model, Dr. Martinez personally evaluates and treats every patient at every visit to ensure the most effective, aesthetic, and lasting outcome. Schedule your personal evaluation at our Kendall clinical suite today.

Related Services:

Traditional Braces

Service Performed By:

Dr. Jesus Martinez
Have Questions? Get in Touch