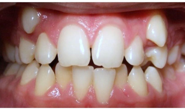
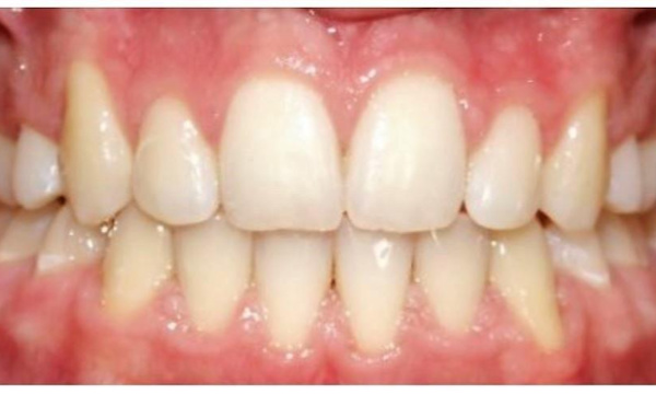
Severe Crowding and Ectopic Canines in Kendall

Severe crowding and ectopic (blocked-out) canines were successfully corrected at our Kendall, Miami office using traditional braces. For this adolescent patient, the treatment plan included the strategic extraction of premolars to create the necessary space for a healthy, functional bite. Over a 24-month comprehensive treatment period, we achieved ideal alignment and corrected the Class II malocclusion. At Martinez Orthodontics, every complex case is personally evaluated by the specialist to ensure the best long-term results for growing smiles.

Related Services:

Traditional Braces

Service Performed By:

Dr. Jesus Martinez
Dr. Martinez has been an excellent doctor!

From the first visit, he was very professional, pleasant and compassionate. If you are considering getting braces, this is the best doctor in town.
- Kevin M.

Ready for your transformation?