Dentofacial Orthopedics
Planning orthodontic treatment begins with a functional foundation: guiding the natural development of your child's jaw
While traditional braces in Kendall focus on moving teeth, dentofacial orthopedics is the specialized branch of dental medicine that focuses on the "foundation"—the muscles and bones of the face. As an orthodontist, I use this phase of treatment to ensure that the teeth and the jaw structure work in harmony.
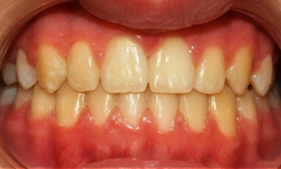
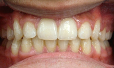
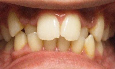
Most children show early signs of jaw discrepancies as they grow. An underdeveloped mandible (lower jaw) can lead to "bad bites" like crowding, overbites, or crossbites. Because the optimal time to guide this growth is between ages 7 and 11, I recommend a first evaluation at age seven. By acting while your child is still growing, we can often avoid more invasive procedures like extractions or jaw surgery later in life.

• The Herbst Appliance: In the past, "headgear" was used to address protruding teeth. Today, I prefer the Herbst appliance. It is fixed in place and works 24/7 to gently guide the lower jaw forward without requiring the patient to remember to wear it.
• Palatal Expanders: If the upper jaw is too narrow, an expander gently widens the arch. This eliminates crossbites and creates the necessary room for permanent teeth to erupt naturally.
• The Forsus Fatigue Resistant Device: This is a specialized spring-based appliance I use to correct overbites by guiding lower jaw growth. It is a modern, fixed alternative to traditional headgear that works continuously without requiring patient compliance.
Your child’s skeletal development is the foundation of their future smile
Choosing the right time for treatment is a significant decision for your family. You can trust that I will personally evaluate your child’s growth and provide the clear, clinical information you need to make the best choice for their long-term health.
Please call today to arrange a personal orthodontic consultation at my Kendall clinical suite. I look forward to meeting you and your family.