Adolescent Class II Correction with Herbst Appliance in Miami

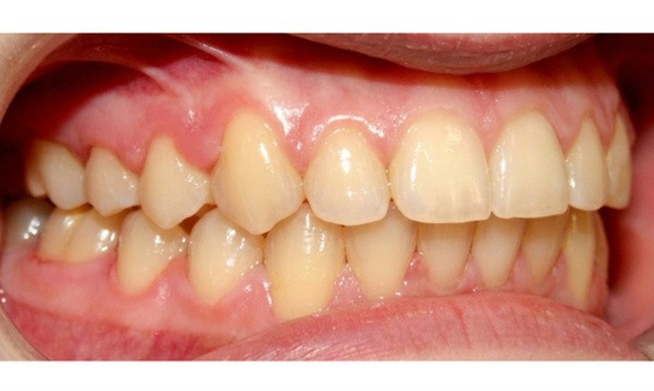
Correcting a severe Class II malocclusion—commonly known as a significant overbite—requires a sophisticated understanding of adolescent growth. For this 24-month transformation, I utilized a custom Herbst appliance to guide the lower jaw forward and achieve a balanced facial profile. This fixed solution works continuously without relying on the patient to remember elastics, making it an ideal choice for busy families. Because managing growth-related appliances requires meticulous clinical oversight, I personally handled every adjustment in our Miami office to ensure a precise, aesthetic result. If you notice your child has a recessed chin or protruding upper teeth, contact our office for a clinical evaluation to see how we can guide their proper development.

Service Performed By:

Dr. Jesus Martinez
Ready for your transformation?