Orthodontics for All Ages: Braces and Clear Aligners
We provide personalized orthodontic treatment for all ages in Kendall and neighboring towns in Miami, FL. We believe every person deserves a smile that optimizes dental alignment, bite function, and facial harmony. While early treatment for children is often related to developmental issues, adults have their own unique concerns.

The Clinical Drivers of Adult Treatment
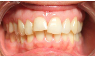
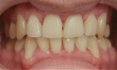
Adults often seek orthodontic intervention to address structural changes that occur over time. This transition is driven by the need for long-term oral health:
Natural Relapse: Teeth possess a physiological memory; without consistent retention, they gradually drift toward their original positions.
Functional Longevity: Properly aligned teeth are significantly easier to maintain, reducing the risk of bone loss and gum recession.
Restorative Foundation: Complex dental work, such as implants or crowns, often requires orthodontic movement to create the necessary space and bite relationship.
Precision-Led Orthodontic Solutions: Traditional fixed appliances remain the definitive method for comprehensive orthodontic correction, favoring the precision required to restore a collapsed occlusion. While we offer ClearCorrect as a sophisticated aligner option, fixed brackets provide the mechanical control necessary for complex functional stability. For patients prioritizing aesthetics, we also utilize Iconix concealed brackets as an alternative that blends with natural tooth color while maintaining the full precision of a fixed appliance.
Whether you are looking for traditional braces or ClearCorrect invisible aligners, we manage every detail of your journey from the initial diagnosis to the final result.
Preventive Orthodontic Treatment
As a specialist orthodontist in Kendall, our goal is clinical foresight. We focus on managing the space for permanent teeth to erupt correctly, ensuring a healthier foundation for a child's future smile. Early monitoring helps prevent ectopic eruptions or impactions, often reducing the complexity of braces later in life.
Interceptive Orthodontic Treatment
When structural shifts are identified early, interceptive treatment allows us to guide erupting teeth and correct crossbites before they become more severe. This proactive approach for our Miami families optimizes the relationship between the jaws and the developing dentition, simplifying future orthodontic needs.
Limited Orthodontic Treatment
Targeted orthodontic solutions are ideal for patients looking to refine specific issues, such as a single rotated tooth or a small dental gap. At our Kendall office, limited treatment focuses on achieving precise dental alignment without the timeline of a full set of braces.
Comprehensive Orthodontic Treatment
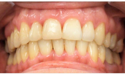
Comprehensive care at our Kendall office is a specialist-led process that coordinates the alignment of the teeth with the overall harmony of the facial structures. This treatment utilizes advanced clinical principles to address complex skeletal and dental relationships, ensuring a stable and functional result for both children and adults. By applying decades of diagnostic insight and precision-led sequencing, we manage every detail of the patient’s development—from the initial assessment through final retention.
For our Miami patients, this approach means a predictable outcome rooted in high-level orthodontic expertise. We prioritize the long-term health of the smile and the structural integrity of the bite, utilizing the most effective methods—from traditional braces to modern aligners—to achieve a balanced and aesthetic result. This level of oversight ensures that every clinical decision is driven by a deep understanding of dentofacial growth and functional stability.
Expect the Best
Choosing orthodontic treatment is a significant investment in your long-term health. Our practice prioritizes a high clinical standard, favoring the precision of traditional fixed appliances to ensure a stable and functional result. For patients seeking a more discreet appearance, we offer Iconix aesthetic brackets as a sophisticated alternative that maintains the full control of a fixed appliance. Whether you choose ceramic braces or ClearCorrect invisible aligners, our focus is on providing a predictable, specialist-level outcome in a professional Kendall environment.