Complex Adult Bite Restoration in Miami

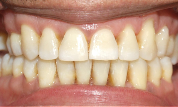
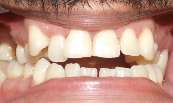
Correcting a collapsed bite and anterior open bite in an adult requires precise multidisciplinary coordination. For this patient, I used traditional braces to stabilize the occlusion and establish the necessary foundation for future dental implants. Because adult cases with a history of periodontitis require extremely gentle clinical oversight, I personally managed every adjustment in our Miami office to ensure a stable, functional result. If you have been told your dental situation is too complex for orthodontics, we invite you to schedule a personal evaluation to discuss your options for specialized care..

Related Services:

Traditional Braces
Restoring Confidence with Exceptional Care

I would definitely recommend Dr. Martinez to family and friends not only he is a great orthodontist that gave me my confidence back but he is also a great person and his priorities are to help his clients as much as he can, he was always available when I needed him. — Jose Carias

Getting an appointment is fast and easy!