Deep-Bite and Overbite Correction in Miami

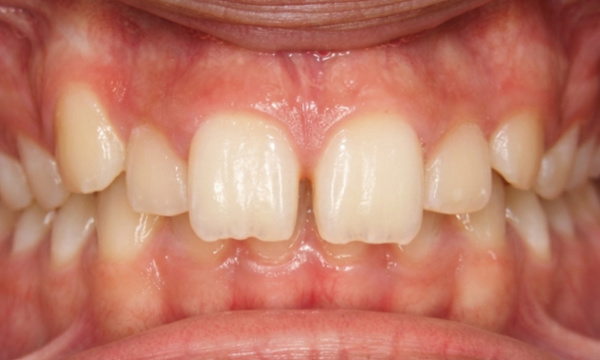
Deep-bite correction and the resolution of an impinging overbite were the focus for this adolescent patient at our Miami office. By utilizing traditional braces, we successfully leveled the dental arches and "lifted" the bite, protecting the palate and preventing long-term wear on the lower teeth. At Martinez Orthodontics, every complex bite case is evaluated personally by the specialist to ensure a result that is both functional and aesthetically balanced.

Related Services:

Traditional Braces
Ready to Begin Your Smile Transformation?