Comprehensive Correction of Posterior Crossbite and Labial Frenum

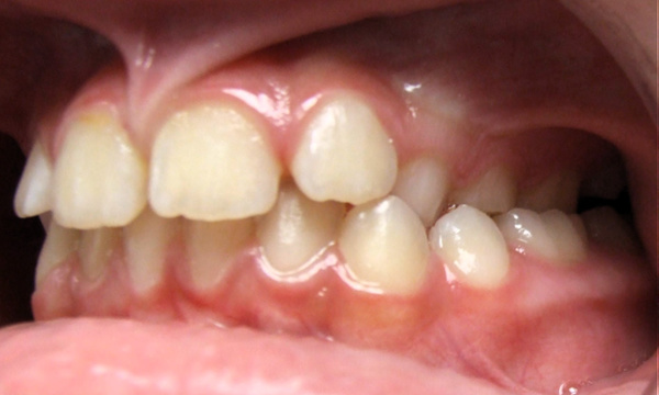
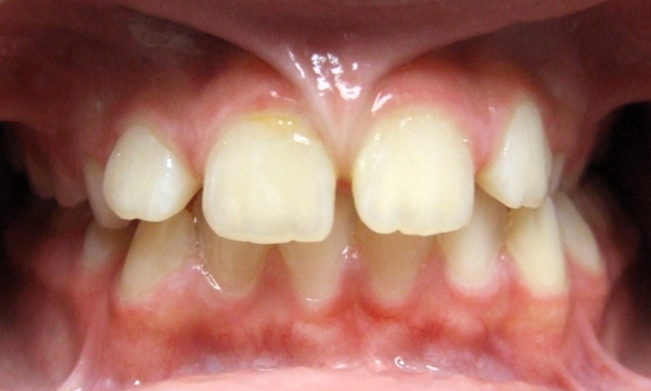
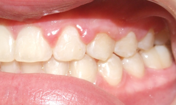
This 30-month case for a preteen addressed a complex Class I malocclusion with a significant functional shift and a posterior crossbite. Initial treatment focused on transverse expansion using a Rapid Palatal Expander (RPE) to eliminate the shift and correct the bite. Traditional braces were then utilized to resolve the deep bite and close generalized diastemas. To ensure the stability of the results—particularly given the thick labial frenum—a frenectomy was performed following the completion of orthodontic movement. The result was secured with permanent lingual retainers on the central incisors and Hawley retainers for long-term maintenance. Dr. Martinez personally managed every phase of this multidisciplinary plan to ensure a healthy, functional, and aesthetic outcome.

Service Performed By:

Dr. Jesus Martinez
Ready for your transformation?