Surgical-Orthodontic Correction of Impacted Canine

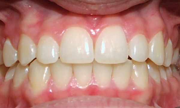
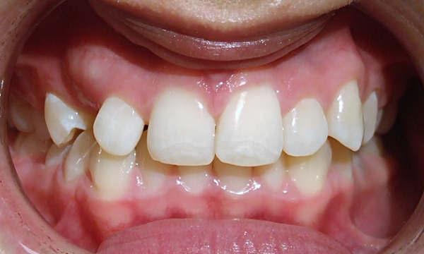
This 24-month complex case for a teenager involved a coordinated surgical-orthodontic approach to resolve an impacted maxillary right canine (#6). Treatment commenced with the application of traditional metal braces to create the necessary space, followed by the surgical exposure of the canine via electrocauterization a few months later. This sequence allowed for precise mechanical guidance as the tooth was brought into the dental arch. Through our private practice model, Dr. Martinez personally oversees every phase of these multidisciplinary cases to ensure optimal clinical stability and a perfectly aligned, functional smile.

Related Services:

Traditional Braces

Service Performed By:

Dr. Jesus Martinez
Getting an appointment is fast and easy!