Teen Metal Braces and Herbst Appliance for Severe Overjet in Miami

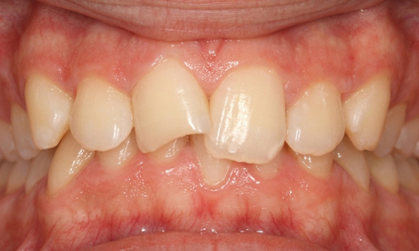
Before: This 13-year-old teenage patient presented with a recessed lower jaw, a narrow palate, and a severe overjet—meaning the upper front teeth protruded significantly. Additionally, the patient had an impinging deep bite where the lower teeth bit directly into the roof of the mouth, along with a fractured upper front tooth resulting from the extreme protrusion and trauma risk.

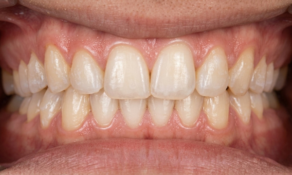
After: Following a 30-month comprehensive treatment plan, we utilized traditional metal braces combined with a custom Herbst and palatal expander appliance to harness the patient's natural development. This targeted approach successfully guided the lower jaw forward, widened the palate, and safely corrected the severe bite. After achieving ideal orthodontic alignment, the fractured front tooth was beautifully restored with cosmetic bonding.

Evaluation: Teen orthodontic care requires expert growth monitoring and timely early intervention to achieve optimal facial harmony and avoid more invasive future procedures. Following active treatment, a strict retention phase is absolutely essential to protect these transformative results. Through our private practice model, Dr. Martinez personally evaluates and treats every patient at every visit to ensure the most effective, aesthetic, and lasting outcome. Schedule your personal evaluation at our Kendall clinical suite today.

Service Performed By:

Dr. Jesus Martinez
Improve your smile today – call to schedule a consultation!