Preteen Metal Braces for Severe Overjet and Crowding in Miami

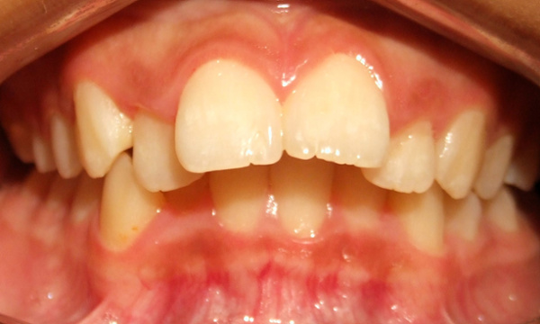
Before: This preteen patient presented with moderate crowding and a severe overjet—meaning the upper front teeth protruded significantly over the lower teeth. This extreme protrusion not only impacted the aesthetics of the smile but also left the front teeth highly vulnerable to accidental trauma.

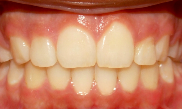
After: Following a 24-month comprehensive treatment plan utilizing traditional metal braces and the strategic extraction of four side teeth to create necessary space, we successfully retracted the upper teeth, relieved the crowding, and eliminated the trauma risk. The beautifully balanced new alignment is now being maintained with custom removable Hawley retainers.

Evaluation: The strategic extraction of teeth to correct severe malocclusions requires the advanced expertise of an orthodontist. Only a trained specialist possesses the deep biomechanical understanding necessary to determine the correct course of action for achieving ideal occlusion, optimal function, and balanced facial harmony. Through our private practice model, Dr. Martinez personally evaluates and treats every patient at every visit to ensure the safest and most effective outcome. Schedule your personal evaluation at our Kendall clinical suite today.

Have Questions About Your Smile Transformation?