Comprehensive Orthodontic Correction of Class II Deep Bite and Gummy Smile

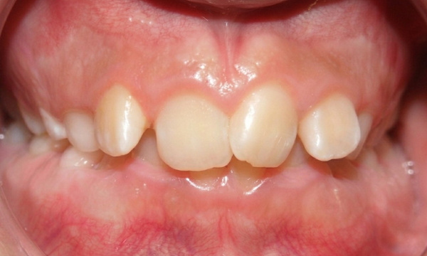
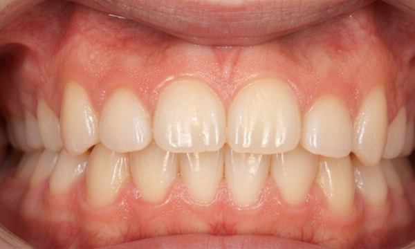
This transitional dentition case for a preteen female addressed a Class II Division 2 malocclusion characterized by an impinging deep bite and a gummy smile. Over a 30-month treatment period, comprehensive braces were utilized to upright the maxillary incisors, resolve the deep bite, and improve the vertical proportions of the smile. Through our private practice model, Dr. Martinez personally managed every phase of this complex growth-based treatment to ensure ideal facial harmony and a stable, functional occlusion.

Service Performed By:

Dr. Jesus Martinez
Have Questions? Get in Touch