Complex Adult Orthodontic Resolution: Open Bite & Crossbite Correction

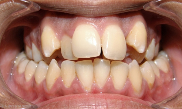
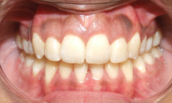
This adult patient presented with a complex Class II Division 1 malocclusion, characterized by an anterior open bite, posterior crossbite, and severe dental crowding with shifted midlines. The comprehensive treatment plan utilized Rapid Palatal Expansion (RPE) to address the transverse deficiency and the extraction of four bicuspids to resolve crowding and close the open bite. Through precise orthodontic mechanics, we achieved a stable functional bite, corrected midlines, and a dramatic aesthetic transformation.

Related Services:

Traditional Braces

Service Performed By:

Dr. Jesus Martinez
Expertise in Complex Orthodontic Cases

Dr. Martinez is amazing! I had a very difficult case that other orthodontists didn't want to touch, and he handled it with ease. My results are perfect. — Teha T.

Improve your smile today – call to schedule a consultation!