Skip to main content
ClearCorrect Invisible Braces
We Fix Crooked Teeth!

Are you an adult with crooked teeth? We can show you how ClearCorrect invisible braces can help you smile again with confidence!

ClearCorrect Invisible Braces | Dentist
You Don't Have to Live with a Crooked Smile
Schedule Now

ClearCorrect Invisible Braces

Do crooked teeth keep you from smiling proudly? Maybe you had braces as a child but forgot to wear your retainer, and now your teeth are crooked again. Or perhaps you have always had a misaligned smile, but now as an adult, you want to get it fixed.

Many people live with crooked teeth because they aren’t interested in treatment with metal braces. But crowded teeth can be unhealthy since they are difficult to clean, and the plaque that accumulates may cause caries, gingivitis, receding gums, periodontal bone loss, and possible tooth loss. A bad bite can also cause wear facets, making teeth more sensitive and prone to fracture. In addition, the shortening of teeth will affect your smile making you look older.

But at Martinez Orthodontics, we have another option if you're not interested in traditional braces – ClearCorrect invisible aligners. ClearCorrect is the latest in orthodontic treatment.  It is convenient, affordable, and will easily help you reach your goal for a better smile

How ClearCorrect Is Different

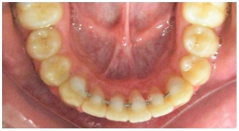
If you don’t like the idea of braces and metal brackets on your teeth, this innovative solution could be ideal for you. ClearCorrect allows Dr. Jesus Martinez to correct your smile with clear, removable aligner trays. The customized trays fit over your teeth like a mouth guard and gently guide your teeth into their ideal position.

How ClearCorrect Works

The first step is a consultation with Dr. Martinez so he can check your smile and help you decide if ClearCorrect is right for you. Next, he takes impressions, which he uses to map out the gradual movement of your teeth. We send these details to a lab where your customized aligners are designed.

When your aligners are ready, we will have you return to our office. You will receive several sets of removable plastic aligners, and each set moves your teeth a little at a time. After wearing one set for about two weeks, you will switch to the next set in the series. You will continue this process, wearing all the aligners for the prescribed time until we reach the desired results.

During your treatment, we’ll have you visit our office every 8 to 10 weeks so we can check on your progress and answer any questions.

ClearCorrect Fits Your Lifestyle

You will love ClearCorrect treatment because the aligners are made of smooth, comfortable plastic that won't irritate the gums, tongue, or the inside of your cheeks. And since the aligners are clear, most people won’t notice you’re wearing them!

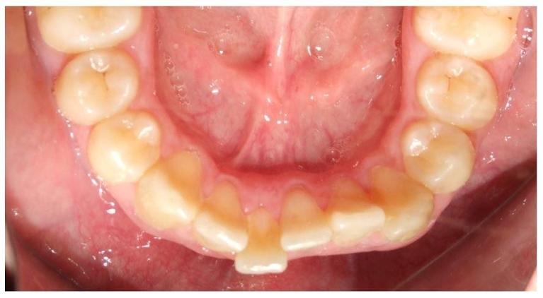
Even though you can’t see it right away, your teeth start moving within a few hours of wearing the aligners for the first time. This movement continues throughout your treatment, so it’s crucial to wear the aligners for 22 hours a day to maintain progress. Every time you move to the next set of aligners, you will be able to see the improvement for yourself.

Discover Your Best Smile

Choosing any orthodontic treatment is an investment in your smile, so you want to be sure to trust your care to a skilled professional. Dr. Martinez became an orthodontist after studying for an additional three years beyond dental school to learn about tooth movement and jaw growth. With over 27 years of experience in dentistry, Dr. Martinez has been providing orthodontic care to patients of all ages in Miami since the year 2000. You can be confident your treatment is in good hands!

If you would like to learn more about ClearCorrect, please call Martinez Orthodontics. We would love the chance to meet you and explain how we can help you enjoy a better smile.

Frequently Asked Questions

Most adults and teenagers with mild to moderate crowding or spacing issues are excellent candidates for ClearCorrect. At Martinez Orthodontics in Kendall, Dr. Jesus Martinez uses these clear, BPA-free aligners to treat a variety of concerns, including gaps, overbites, and crooked teeth.

Because the aligners are removable, they are ideal for patients who want to maintain their current lifestyle and diet without the restrictions of traditional metal wires. To determine if this technology is right for you, Dr. Martinez will perform a personalized clinical evaluation to map out your treatment and discuss the projected results before you even begin.

If your case is exceptionally complex, Dr. Martinez will discuss whether ClearCorrect or another specialized orthodontic solution will provide you with the most stable, long-term result.

A common misconception is that clear aligners are always faster than braces. In reality, the duration of your treatment at Martinez Orthodontics depends on the complexity of your specific case and how your teeth respond to movement.

While some minor alignment issues can be resolved quickly with ClearCorrect, more significant structural changes require a steady, biological pace to ensure a stable and healthy result. The most critical factor in the speed of your aligner treatment is "compliance"—since the aligners are removable, they must be worn for at least 22 hours a day to stay on schedule. During your consultation in Kendall, Dr. Jesus Martinez will provide an estimated timeline based on your unique goals, ensuring your smile is healthy and beautiful, regardless of the method used.

Choosing an orthodontist is a significant long-term decision for your family’s health. At Martinez Orthodontics, we provide a specialized, doctor-led experience where Dr. Jesus Martinez personally oversees every aspect of your treatment. From the initial evaluation to every individual adjustment, you will receive the consistent care and direct attention of the same specialist at every visit.

Our philosophy is rooted in sincere feedback and clinical necessity. We prioritize the long-term health of your teeth and gums, recommending intervention only when it provides a clear biological benefit. By focusing on quality over volume, we ensure that every patient in our Kendall office receives a customized treatment plan designed for stability, health, and a precisely aligned result.

We invite our Kendall neighbors to experience the difference of personalized specialist care. Please contact us to schedule a private evaluation for your family.

Meet Our Doctor:

Dr. Jesus Martinez, Orthodontist in Kendall Miami

Dr. Jesus Martinez DMD
Orthodontist

“For me, orthodontics is ingenuity, where art and science converge. It’s innovative, so it allows me to grow professionally through constant learning. Helping people gain self-confidence by giving them a beautiful new smile is very rewarding.”

As a leading orthodontist in Kendall and Miami, Dr. Jesus Martinez provides specialized care backed by over 35 years of experience. He attended the University of Puerto Rico School of Dental Medicine where he received his Doctor of Dental Medicine degree (DMD). He has been practicing dentistry for over 35 years including four years as a ...

We'll Work with You to Find the Solution You Need.
Let's Get Started!