Adult Maxillary Expansion & Management of Congenitally Missing Teeth

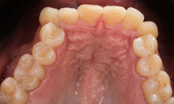
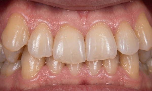
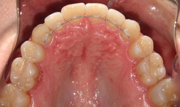
Orthodontic treatment for adults often involves managing complex dental histories. This patient in his 40s presented with a collapsed, square-shaped maxillary arch, a crossbite, and shifted midlines. Complicating the case were congenitally missing lower second premolars and over-retained primary first molars. Under the specialized care of Dr. Jesus Martinez, we utilized Rapid Palatal Expansion (RPE) to restore proper arch width and traditional braces to correct the alignment and bite. Strategic management of the primary teeth and missing permanent teeth allowed us to achieve a stable, functional result secured with fixed retainers. We invite you to schedule a personal evaluation at our concierge Miami or Kendall offices, where the specialist evaluates every case personally from start to finish.

Service Performed By:

Dr. Jesus Martinez
Getting an appointment is fast and easy!