Correcting Spacing and Protrusion with Braces & Expander on Preteen

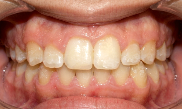
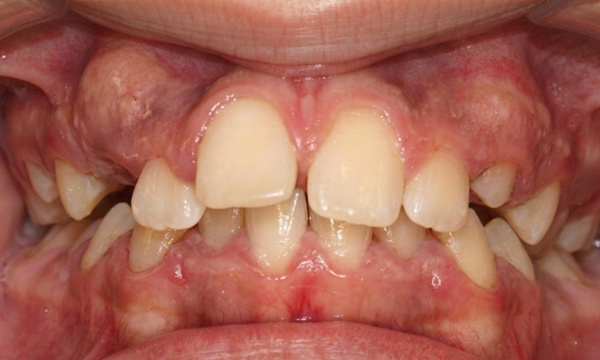
As a specialized orthodontist, utilizing traditional braces and Rapid Palatal Expansion (RPE) for preteens allows us to efficiently correct severe skeletal discrepancies. Over the course of this 30-month treatment, we addressed a notably narrow maxilla presenting with dental spacing and protrusion. By expanding the palate during this crucial growth phase, we established the necessary arch width to properly accommodate the permanent teeth, close the spaces, and reduce the protrusion for a functional, healthy smile. At our concierge Miami and Kendall offices, we prioritize meticulous clinical outcomes for every age group. We invite you to schedule a personal evaluation to discuss your child's orthodontic needs, ensuring the specialist evaluates every case personally from the initial consultation to the final result.

Have Questions About Your Smile Transformation?