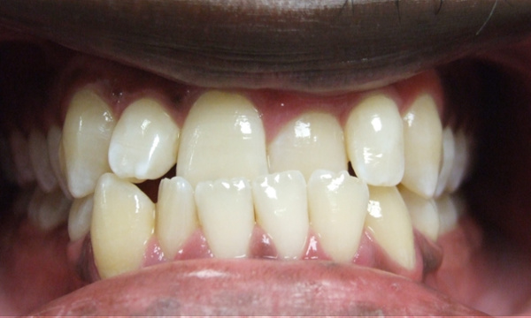
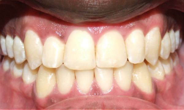
Adult Anterior Crossbite Correction & Smile Alignment

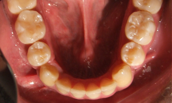
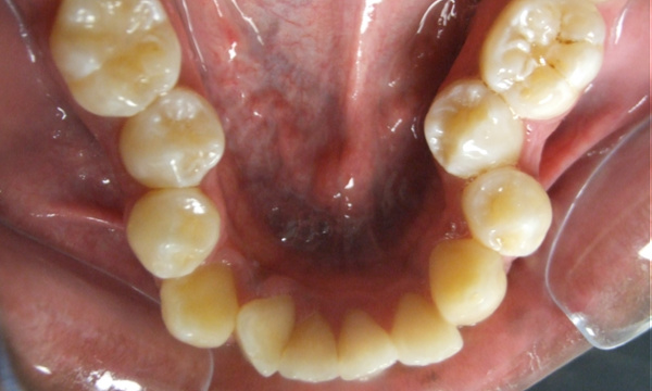
This adult patient presented with a Class III malocclusion (underbite) and severe lower crowding. To achieve a stable and aesthetic result without surgery, we performed a camouflage treatment involving the extraction of two lower bicuspids. This allowed for the successful correction of the anterior crossbite and created a harmonious, functional bite with perfect alignment.

Related Services:

Traditional Braces

Service Performed By:

Dr. Jesus Martinez
Specialist-Guided Clinical Excellence

Dr. Martinez is friendly, intelligent, professional, and is always eager to explain his process and make everything as quick, easy and comfortable as possible. I’d recommend him to anyone. — Kieron W.

Not finding what you need?