Martinez Orthodontics
Your smile... on point!

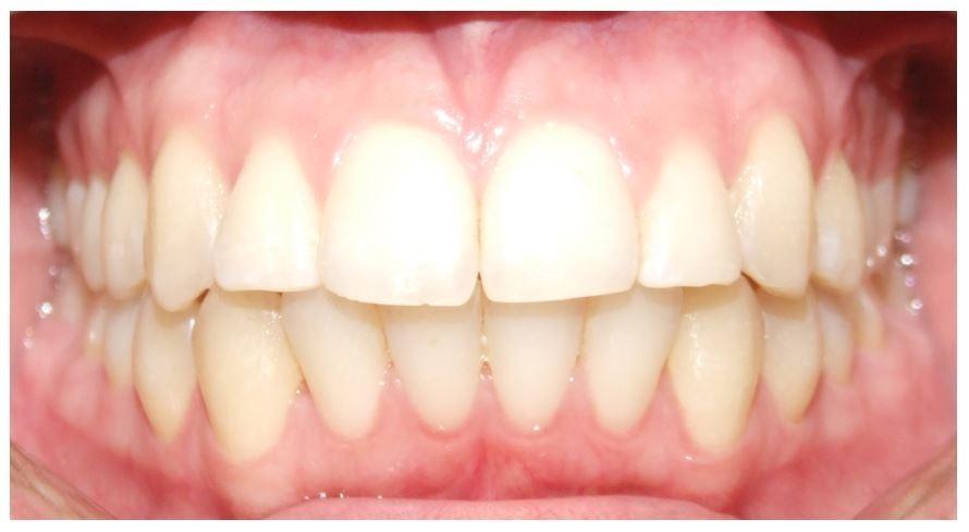
Traditional Clear Braces, Fixed lower retainer

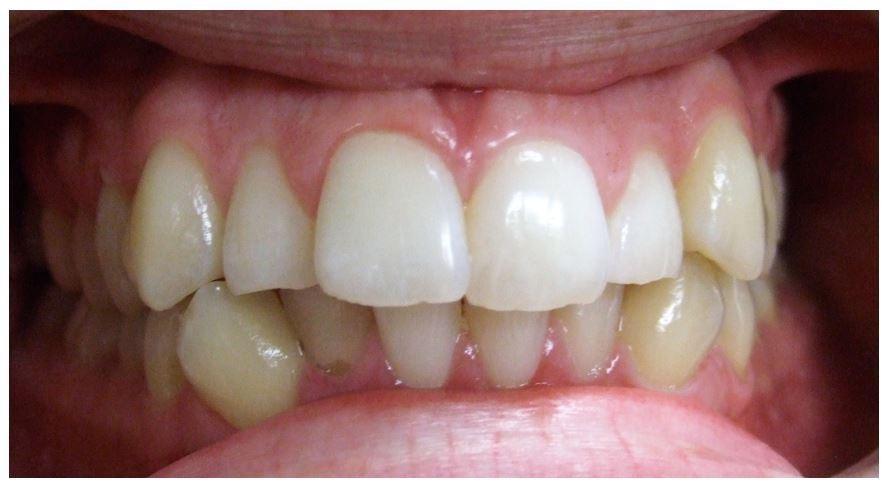
Before: Class I malocclusion, Adult Dentition, Severe Crowding, Ectopic lower canines.
After: Comprehensive Treatment- Traditional Clear Braces, Fixed lower retainer, 24 moths.

Still need an appointment?
If you have difficulty using our website, please email us or call us at (305) 552-0402
Privacy Policy