Teen Metal Braces for Impacted Canine and Gap Closure in Miami

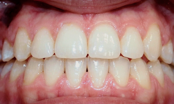
Before: This teenage patient presented with an impacted upper left canine, meaning the eyetooth was stuck beneath the gums, along with noticeable spacing between the teeth and asymmetrical dental midlines.

After: Following a 24-month comprehensive treatment plan utilizing traditional metal braces and a minor surgical procedure to uncover the hidden canine, we successfully guided the tooth into its proper position, closed all gaps, and aligned the midlines for a fully balanced smile.

Evaluation: Teen orthodontic care requires meticulous biomechanical planning. Through our private practice model, Dr. Martinez personally evaluates and treats every patient at every visit to ensure the most effective, aesthetic, and lasting outcome. Schedule your personal evaluation at our Kendall clinical suite today.

Related Services:

Traditional Braces

Service Performed By:

Dr. Jesus Martinez
Ready for your transformation?