Severe Crowding & Crossbite Correction with RPE

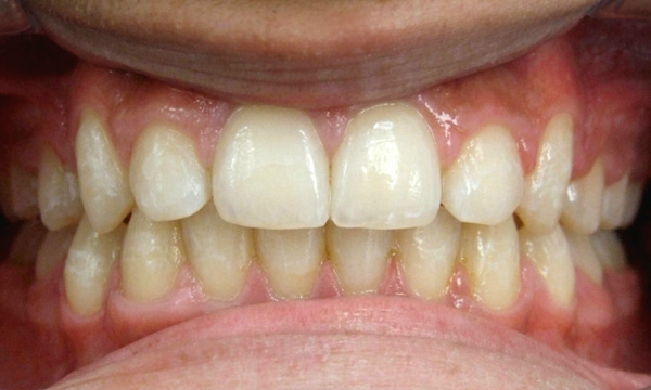
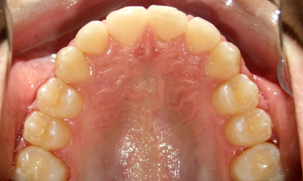
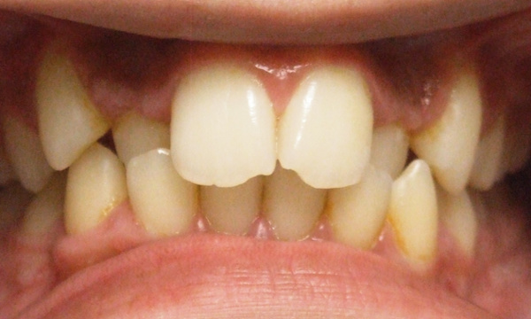
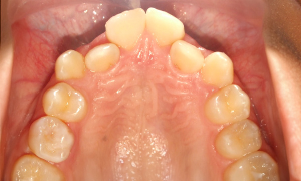
Dedicated to personalized, doctor-led care, I designed this 24-month comprehensive adolescent treatment plan as your Kendall Orthodontist to resolve severe crowding and a narrow palate. Utilizing a Rapid Palatal Expander and non-extraction techniques, we successfully corrected the lateral crossbites and established optimal arch width. Following the orthodontic alignment, the chipped upper central incisors were meticulously restored to achieve a highly aesthetic, harmonious finish. Proper arch development is vital for maintaining long-term dental health and function.

Contact our Miami office to schedule your personal clinical evaluation.

Service Performed By:

Dr. Jesus Martinez
Ready for your transformation?