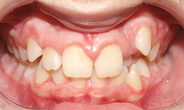
Severe Crowding Correction for Teens with Traditional Braces

As a specialized orthodontist, utilizing traditional braces for severe crowding is a cornerstone of our clinical practice. This teen patient presented with significantly blocked-out canines and alignment issues, requiring precise and predictable tooth movement. Traditional metal braces provided the optimal biomechanical control needed to properly align the smile both aesthetically and functionally. Here in our Kendall and Miami offices, we prioritize a concierge clinical experience. We invite you to schedule a personal evaluation to discuss your treatment options, knowing the specialist evaluates every case personally from the initial consultation to the final result.

Service Performed By:

Dr. Jesus Martinez
Ready to Begin Your Smile Transformation?