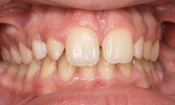
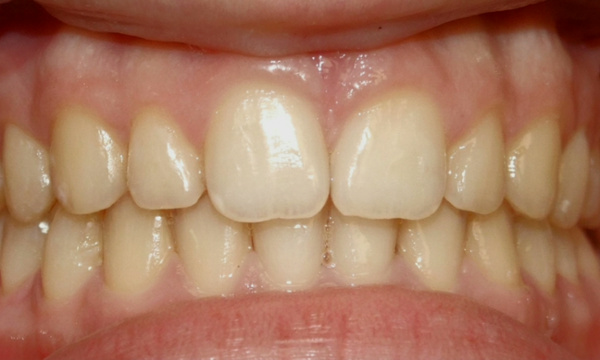
Preteen Interceptive Orthodontics and Palatal Expansion in Kendall

Early intervention is key to correcting skeletal imbalances before they become permanent. For this preteen patient, I utilized interceptive (D8060) orthodontics, including a palatal expander and limited braces, to correct a constricted upper jaw and create the necessary space for erupting permanent teeth. By widening the arch during this critical growth phase, we successfully guided the canines into position and improved the overall bite function, often reducing the complexity of future treatment. Because growth-timed care requires expert oversight, I personally evaluated and managed every adjustment in our Kendall clinical suite. If you notice your child has a narrow smile or crowded teeth, we invite you to schedule a personal evaluation to discuss the benefits of specialized, interceptive care.

Related Services:

Early Orthodontic Treatment

Service Performed By:

Dr. Jesus Martinez
What an amazing experience!

Dr. Martinez is a sweet man. He is very attentive and caring. Also, very passionate and great at what he does. His front desk always helpful and considerate.
- Bianca M.

Have Questions? Get in Touch