Palatal Expansion and Comprehensive Metal Braces in Miami

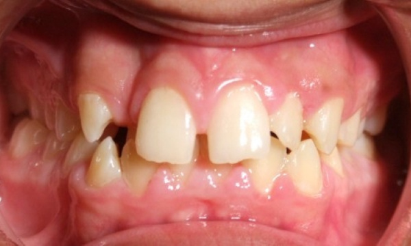
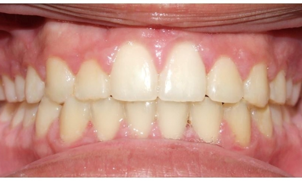
Palatal expansion and traditional metal braces were used to correct a narrow palate, crossbite, and deep-bite. By addressing skeletal width first, we created the necessary space to resolve severe crowding and align the teeth into a functional, healthy smile over 24 months.

Service Performed By:

Dr. Jesus Martinez
Ready for your transformation?