Multidisciplinary Adult Orthodontics: Complex Bite Restoration

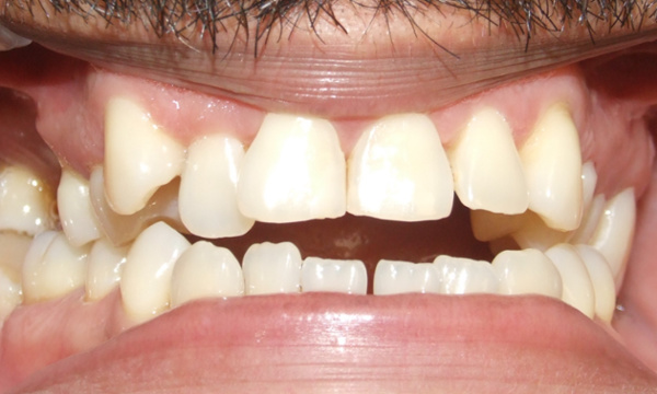
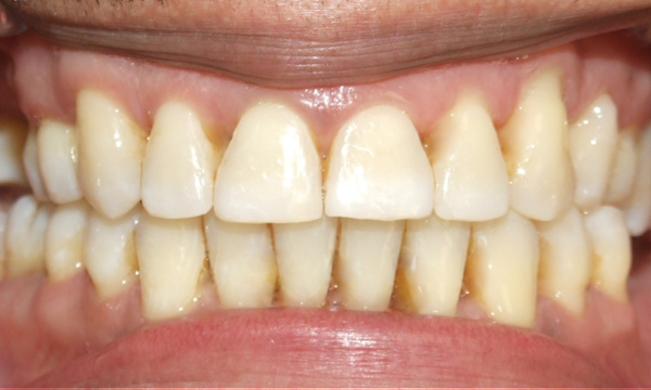
As a leading orthodontist in Miami, Dr. Martinez managed this highly complex multidisciplinary adult case. The patient presented with a mutilated dentition, multiple missing molars, a collapsed occlusion, an anterior open bite compounded by tongue thrusting, severe diastemas, and generalized periodontitis. Comprehensive treatment required precise coordination between periodontal therapy and orthodontic mechanics to stabilize tissue health while correcting the bite. Traditional braces were utilized to align the remaining dentition, perfectly establishing the critical spatial foundations required for future dental implants. Contact Martinez Orthodontics today to schedule your personal evaluation.

Related Services:

Traditional Braces
Restoring Confidence with Exceptional Care

I would definitely recommend Dr. Martinez to family and friends not only he is a great orthodontist that gave me my confidence back but he is also a great person and his priorities are to help his clients as much as he can, he was always available when I needed him. — Jose Carias

Ready to book an appointment?