Correction of Blocked-Out Upper Canine with Metal Braces

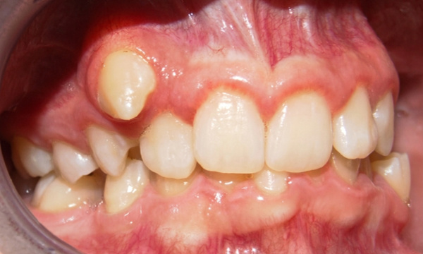
Blocked-out canine and severe dental crowding were successfully resolved at our Kendall, Miami office using traditional metal braces. For this patient in transitional dentition, the treatment plan included the extraction of first premolars to create the necessary space for the permanent teeth to erupt into their ideal positions. This comprehensive 24-month treatment resulted in a stable, functional bite and a harmonious smile. At Martinez Orthodontics, every complex case is personally evaluated by the specialist to ensure the best long-term results.

Related Services:

Traditional Braces

Service Performed By:

Dr. Jesus Martinez
Ready to Begin Your Smile Transformation?