Comprehensive Crowding Resolution for Teens in Kendall

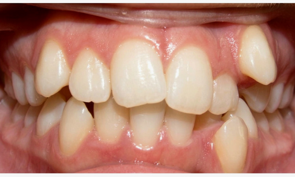
Before: This teenage patient presented with severe dental crowding, shifted midlines, and ectopic canines—meaning the eyeteeth were blocked out of their normal alignment and erupting irregularly.

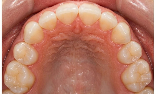
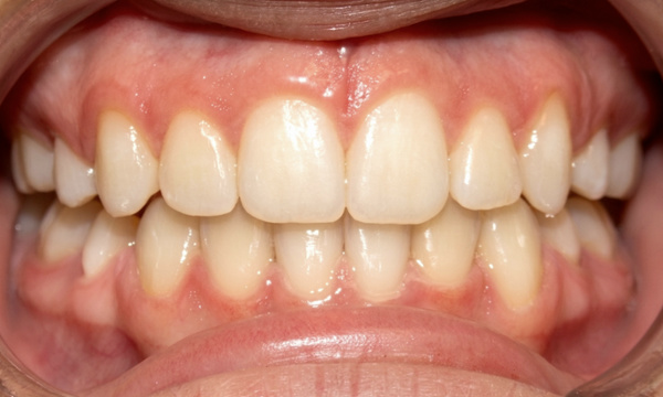
After: Following a 24-month comprehensive treatment plan utilizing traditional metal braces and the strategic extraction of four side teeth (premolars) to create necessary space, we successfully guided the canines into proper position, resolved the severe crowding, and centered the dental midlines for a healthy, functional smile.

Related Services:

Traditional Braces

Service Performed By:

Dr. Jesus Martinez
Getting an appointment is fast and easy!