Clinical Smile Transformation: Class II Correction

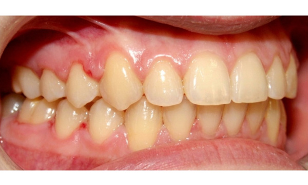
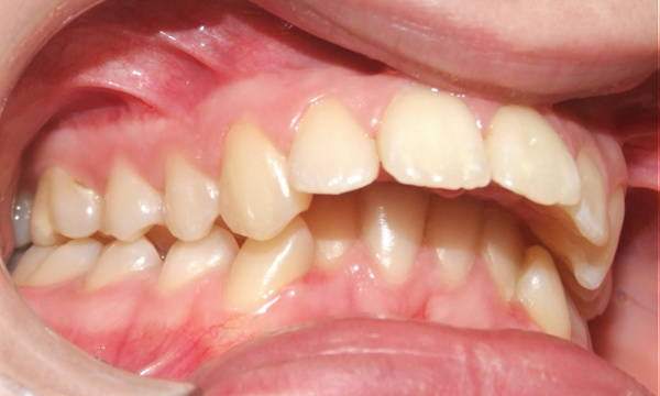
As an Orthodontist in Kendall with over 35 years of clinical experience, I designed this customized 24-month treatment plan utilizing a Herbst appliance to resolve a severe Class II malocclusion and significant overjet. Through precise clinical techniques, we achieved a stable, harmonious bite and a highly aesthetic result. Proper alignment is vital for maintaining long-term dental health and optimal function. 

Contact our Miami office to schedule your personal clinical evaluation.

Service Performed By:

Dr. Jesus Martinez
Have Questions? Get in Touch