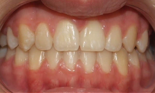
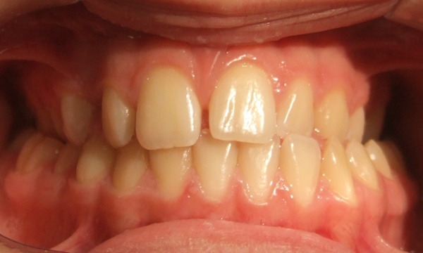
Class III Malocclusion Correction: Narrow Maxilla & Jaw Functional Shift

This patient presented with a complex Class III malocclusion, complicated by a narrow maxilla and a functional shift. To achieve a structurally sound and aesthetic result, treatment spanned 24 months utilizing a Rapid Palatal Expander (RPE) to correct the transverse deficiency, followed by traditional braces and diagonal elastics to perfectly align the bite and eliminate the shift. The outcome is a beautifully balanced smile and optimal jaw function. Contact Martinez Orthodontics today to schedule your personal evaluation.

Service Performed By:

Dr. Jesus Martinez
Stellar Attention to Detail

We can’t say enough great things about Dr. Martinez and his entire orthodontic practice. For the past two years, he has worked on our daughter’s teeth, and the results are truly incredible — her smile looks absolutely amazing!
Dr. Martinez’s attention to detail is nothing short of stellar.  We are beyond happy with the outcome and couldn’t be more grateful for his expertise, patience, and dedication. If you’re looking for a top-notch orthodontist who truly cares and delivers outstanding results, Dr. Martinez is the one. Highly recommended!

 

Still need an appointment?