Adult Orthodontic Retreatment in Miami: Rescuing Complex Cases with Precision Braces

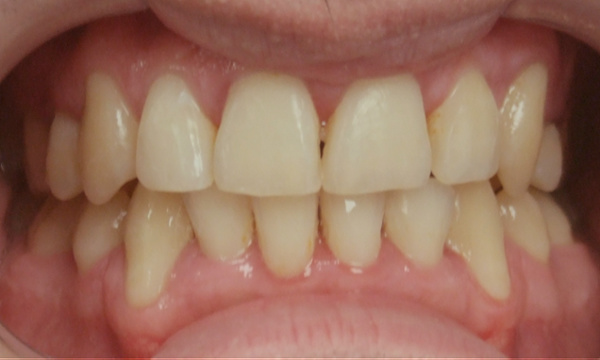
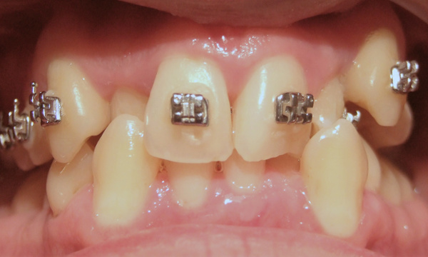
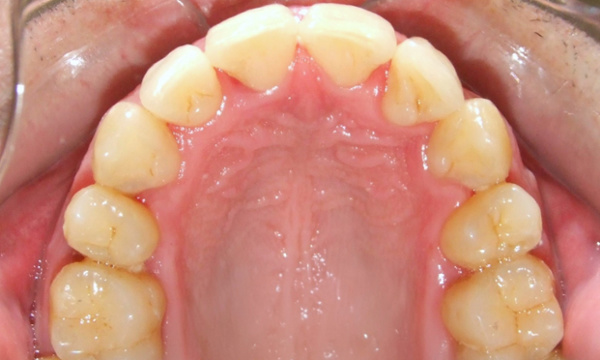
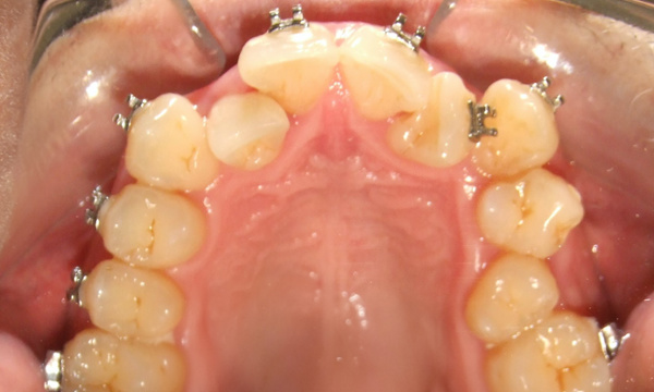
Not all orthodontic journeys start on the right path. This patient came to us with partial braces and a desire for clinical excellence. Dr. Martinez accepted the challenge, providing the expert, hands-on care necessary to "rescue" this complex case. After 24 months of specialized treatment in our Miami orthodontic practice, we achieved a healthy, stable, and properly aligned smile. Experience the difference 35 years of expertise makes.

 

Service Performed By:

Dr. Jesus Martinez
Have Questions? Get in Touch