Adult Metal Braces for Protrusion and Midline Correction in Miami

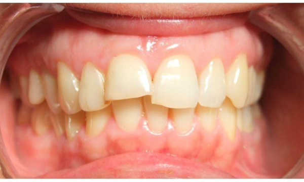
Before: This adult patient presented with a Class II Division 1 malocclusion, an orthodontic condition characterized by visibly protruded upper front teeth and an asymmetrical, shifting midline.

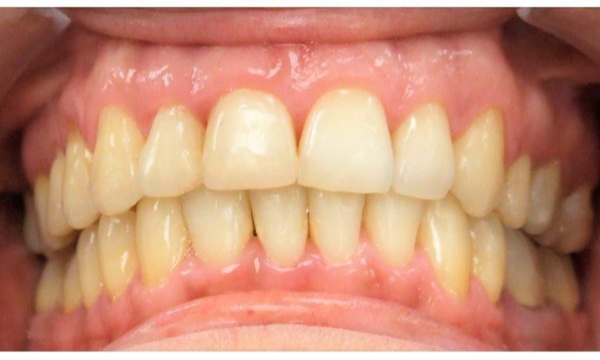
After: Following a 26-month comprehensive treatment plan utilizing traditional metal braces, we successfully retracted the upper teeth to correct the protrusion and precisely aligned the dental midlines for a balanced, functional smile.

Evaluation: Adult orthodontic care requires meticulous biomechanical planning. Through our private practice model, Dr. Martinez personally evaluates and treats every patient at every visit to ensure the most effective, aesthetic, and lasting outcome. Schedule your personal evaluation at our Kendall clinical suite today.

Service Performed By:

Dr. Jesus Martinez
Ready for your transformation?