Adult Crowding and Alignment in Miami

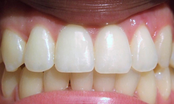
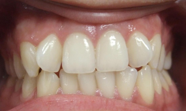
Improving your smile as an adult is a vital investment in both your confidence and your long-term dental health. For this patient, we utilized traditional braces to resolve moderate crowding and significant misalignment, focusing on creating a harmonious, level bite. Beyond the aesthetic transformation, properly aligned teeth are far easier to maintain, significantly reducing the risk of periodontal issues over time. Because adult bone structure requires a specialized, gentle approach to tooth movement, I personally designed and managed every stage of this treatment in our Miami clinical suite. If you have been considering orthodontic care but felt the window had passed, we invite you to schedule a personal evaluation to see how clinical expertise can help you achieve a healthy, high-end result at any age.

Service Performed By:

Dr. Jesus Martinez
Improve your smile today – call to schedule a consultation!