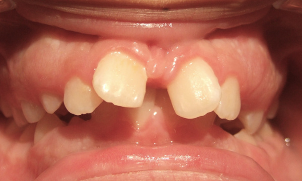
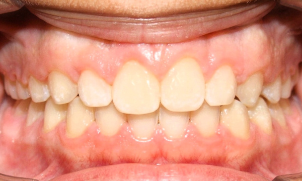
Adolescent Class II Division 1 Resolution: Severe Overjet and Diastema Closure

This teen patient presented with a Class II Division 1 malocclusion, featuring an impinging overbite, severe overjet, and multiple diastemas complicated by a low labial frenum. Through specialized orthodontic mechanics using traditional braces, treatment successfully reduced the severe overjet, closed all anterior spacing, and corrected the deep bite to eliminate tissue impingement. The final result is a structurally stable bite and a broad, confident smile.

Service Performed By:

Dr. Jesus Martinez
The Best in Miami: A Perfectionist Approach

Stop looking around and go here first and save yourself a lot of trouble. I have been looking for the best ortho in Miami and believe me it has been quite a journey. Dr. Martinez is so through you have to see for yourself to know what I mean. He showed me and my son the process and walked us through it step by step. He is a perfectionist and it shows in the interaction I had with him. My son had his braces removed yesterday and hasn’t stopped smiling and taking selfies. His whole demeanor has changed. I am so happy for him and the process with had with Dr. Martinez hands down he is the best. — Jazon Ozza

Have Questions? Get in Touch