Overjet and Bite Correction with Braces in Kendall

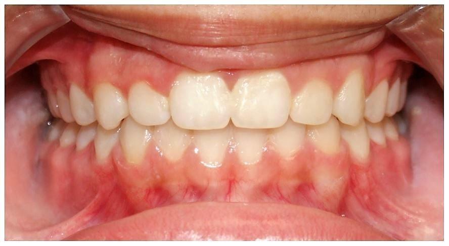
Protruded upper teeth and a Class II malocclusion were successfully corrected at our Kendall, Miami office using traditional metal braces and rubber bands. By addressing the small lower jaw and aligning the dental arches, we achieved a healthy, functional bite and a balanced smile profile over a 24-month period. At Martinez Orthodontics, every complex bite transformation is evaluated personally by the specialist to ensure the most effective and stable long-term result.

Related Services:

Traditional Braces
Still need an appointment?