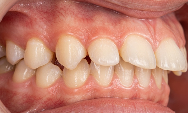
Protruded Teeth as a Result of Parafunctional Habits

Protruding upper teeth and dental gaps caused by parafunctional habits, such as tongue thrusting or thumb-sucking, were successfully corrected for this patient. A combination of orthopedic appliances and braces was used to neutralize these habits and restore proper bite function. Early intervention is key to preventing tooth fractures and ensuring healthy jaw development. Through our private practice model, Dr. Martinez personally evaluates every child starting as early as age 7 to create a customized treatment map for their dental health.

Service Performed By:

Dr. Jesus Martinez
Have Questions? Get in Touch